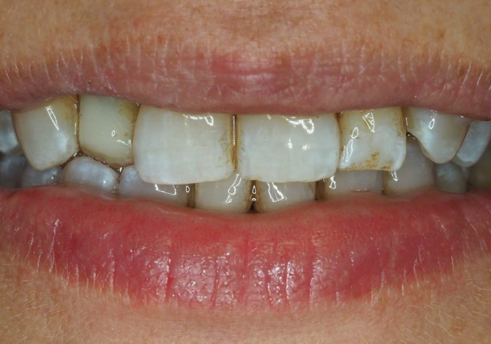
Pacjent zgłosił się z powodu ułamanej górnej dwójki i nieestetycznego wyglądu obu siekaczy centralnych, które uległy urazowi kilka lat wcześniej. Pacjentowi nie podobała się szpara między zębami i ich znaczne wychylenie do przodu.
Wszyscy marzymy o pięknym uśmiechu, a Ty możesz go mieć
Zabiegi z zakresu stomatologii estetycznej
Podoba Ci się Twój uśmiech, ale marzysz, żeby był zwyczajnie bielszy?
Estetyczna odbudowa zębów materiałem kompozytowym
- Odbudowy ubytków o dużej powierzchni
- Zamknięcia diastemy, czyli przerwy (szpary) między zębami
- Odbudowy złamanego zęba, np. po urazie
- Odbudowy ukruszonego szkliwa
- Wymiany istniejących wypełnień nie spełniających estetycznych oczekiwań pacjenta
Do tego typu wypełnień używamy materiałów kompozytowych najwyższej klasy, które są praktycznie nie do odróżnienia od naturalnych zębów. Często prace te wykonujemy na bazie wcześniej przygotowanego dla Pacjenta projektu uśmiechu.
Przymierz swój nowy uśmiech zanim rozpoczniesz leczenie
Licówki porcelanowe dla pięknego, długotrwałego i naturalnego efektu
Korekta białych plam na zębach
Niewidoczna ortodoncja
Efekty leczenia
Dwójkę odbudowano zachowawczo materiałem kompozytowym, z kolei górne jedynki ze względu na liczne wypełnienia zakwalifikowano do odbudowy protetycznej za pomocą koron. Charakteryzacja porcelany umożliwiła wykonanie uzupełnień o bardzo naturalnym i pożądanym przez Pacjenta wyglądzie.
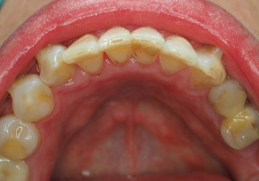
Pacjentka zgłosiła się z powodu nieestetycznego wyglądu górnych jedynek. Prawy siekacz znacznie przebarwiony, po urazie i leczeniu kanałowym z licznymi wypełnieniami. Lewy z nieestetycznym wypełnieniem.
Żeby wyrównać kolor prawego filaru zaplanowano odbudowę za pomocą korony pełnoceramicznej, z kolei lewą jedynkę minimalnie inwazyjnie przygotowano pod wykonanie licówki. Pacjentka zdecydowała się na rekonstrukcje pełnoceramiczne ze względu na ich niedoścignioną estetykę. Zmiana w obrębie wyłącznie dwóch zębów dała efekt zupełnie odmienionego uśmiechu Pacjentki.
Pacjentka po 40 latach chciała spełnić swoje marzenie o prostych zębach w dolnym łuku.
Dzięki silnej motywacji Pacjentki po 8 miesiącach użytkowania aparatu ortodontycznego udało się uzyskać efekt prostych zębów i harmonijnego uśmiechu.
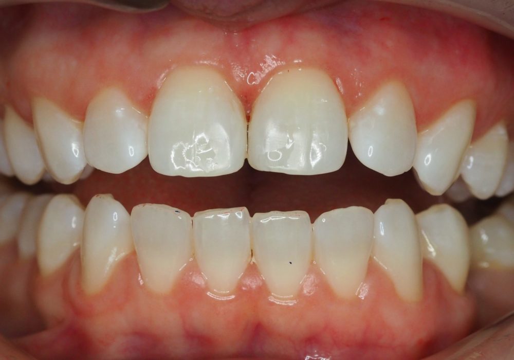
Pacjentka zgłosiła się celem korekty zbyt krótkiej dwójki oraz generalnej poprawy ustawienia zębów w łuku i estetyki uśmiechu.
Po leczeniu ortodontycznym, prawidłowo ustawione względem siebie zęby poddano piaskowaniu i 14-dniowemu procesowi wybielania nakładkowego. Do czasu wykonania wysokoestetycznej korony pełnoceramicznej dwójkę odbudowano materiałem kompozytowym w kolorze wybielonych już zębów.
Pacjentka zgłosiła się celem poprawy estetyki uśmiechu. Celem było uzyskanie jaśniejszego odcienia zębów oraz zamknięcie przerwy (diastemy) pomiędzy górnymi jedynkami.
Po 8 dniach wybielania metodą nakładkową uzyskano kolor zębów o 4 tony jaśniejszy od początkowego. Następnie na pojedynczej wizycie zamknięto diastemę materiałem kompozytowym bez szlifowania naturalnych zębów.
Poznaj naszych ekspertów
Joanna Kunert
Marta Kunert
Agata Sobczak-Zuszek
Katarzyna Dąbrowska
Często zadawane pytania
Section 1
I am text block. Click edit button to change this text. Lorem ipsum dolor sit amet, consectetur adipiscing elit. Ut elit tellus, luctus nec ullamcorper mattis, pulvinar dapibus leo.
Section 2
I am text block. Click edit button to change this text. Lorem ipsum dolor sit amet, consectetur adipiscing elit. Ut elit tellus, luctus nec ullamcorper mattis, pulvinar dapibus leo.














